※ 本文為 MindOcean 轉寄自 ptt.cc 更新時間: 2023-01-08 22:12:07
看板 Gossiping
作者 標題 [新聞] 恐怖「白肺」回來了?陸官員:只8%出現
時間 Sun Jan 8 12:54:19 2023
1.媒體來源:ETtoday
2.記者署名:蔡紹堅
3.完整新聞標題:恐怖「白肺」回來了?陸官員:只8%出現肺炎「我們人口基數大」
4.完整新聞內文:
記者蔡紹堅/綜合報導
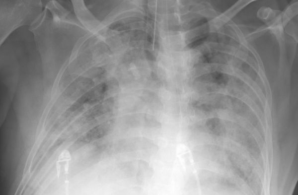
中國大陸先前將「新冠肺炎」改名為「新冠病毒感染」,但仍有許多患者出現了肺炎症狀
,甚至還傳出多起「白肺」病例。對此,大陸國家衛健委醫政司司長焦雅輝表示,從2022
年的數據來看,出現肺炎的佔比相當低,不到10%,大概是8%左右,「我們國家人口基數
大,再低的比例,變成絕對值,都是一個不小的數目。」
,甚至還傳出多起「白肺」病例。對此,大陸國家衛健委醫政司司長焦雅輝表示,從2022
年的數據來看,出現肺炎的佔比相當低,不到10%,大概是8%左右,「我們國家人口基數
大,再低的比例,變成絕對值,都是一個不小的數目。」
焦雅輝近日接受了《央視新聞》的採訪,並介紹了大陸目前疫情形勢,她提到,2022年12
月中旬,全國發熱門診的就診量進入了一個快速上升的階段,到12月下旬和2023年元旦的
時候,急診量進入了一個高峰期,急診高峰意味著重症救治的高峰也同步到來。
月中旬,全國發熱門診的就診量進入了一個快速上升的階段,到12月下旬和2023年元旦的
時候,急診量進入了一個高峰期,急診高峰意味著重症救治的高峰也同步到來。
焦雅輝說,從現在全國的情況來看,全國主要的城市,也就是直轄市、省會城市,包括一
些計劃單列市,這些中心城市正在渡過或者已經渡過感染的高峰,「現在從這些大城市的
情況來看,急診和重症的高峰,尤其是急診也出現了回落的跡象,重症救治是處在一個高
位平台期。」
些計劃單列市,這些中心城市正在渡過或者已經渡過感染的高峰,「現在從這些大城市的
情況來看,急診和重症的高峰,尤其是急診也出現了回落的跡象,重症救治是處在一個高
位平台期。」
焦雅輝認為,在春運之前,中小城市和農村地區實際上也已經迎來了感染的一個高峰,「
根據這個趨勢來看,在春運期間有可能會迎來這些中小城市和農村地區急診和重症的一個
發病高峰。」
根據這個趨勢來看,在春運期間有可能會迎來這些中小城市和農村地區急診和重症的一個
發病高峰。」
大陸先前將「新冠肺炎」改名為「新冠病毒感染」,但仍有許多人出現肺炎症狀,甚至傳
出多起「白肺」病例。對此,焦雅輝指出,從2022年國家的Omicron臨床病例的分型情況
來看,出現肺炎,也就是「普通型」的佔比還是相當低的,不到10%,大概是8%左右。
出多起「白肺」病例。對此,焦雅輝指出,從2022年國家的Omicron臨床病例的分型情況
來看,出現肺炎,也就是「普通型」的佔比還是相當低的,不到10%,大概是8%左右。
焦雅輝強調,現在因為感染的基數大了,出現肺炎的絕對數值一定是大的,「因為我們國
家人口基數大,再低的比例,變成絕對值,都是一個不小的數目。」
焦雅輝說,從臨床上看到的病情來講,雖然大家感覺現在肺炎比較多,但是從臨床上過來
的訊息看,同樣是肺炎,現在的肺炎和3年前的肺炎,影響程度是不一樣的,「現在的肺
炎絕大多數經過及時治療和干預,是可以拉回來的,也就是說可以治好的。」
的訊息看,同樣是肺炎,現在的肺炎和3年前的肺炎,影響程度是不一樣的,「現在的肺
炎絕大多數經過及時治療和干預,是可以拉回來的,也就是說可以治好的。」
焦雅輝還說,3年前在武漢波及的人群主要是青壯年比較多,現在波及的人群更多的是脆
弱人群,就是高齡的、有基礎疾病的,最重要的是沒有接種疫苗的這些人員,受波及影響
的範圍更大,「所以我覺得變化是體現在方方面面的,『曙光就在前頭』,我覺得我們一
定能取得勝利。
弱人群,就是高齡的、有基礎疾病的,最重要的是沒有接種疫苗的這些人員,受波及影響
的範圍更大,「所以我覺得變化是體現在方方面面的,『曙光就在前頭』,我覺得我們一
定能取得勝利。
5.完整新聞連結 (或短網址):https://reurl.cc/91k578
恐怖「白肺」回來了?陸官員:只8%出現肺炎「我們人口基數大」 | ETtoday大陸新聞 | ETtoday新聞雲
中國大陸先前將「新冠肺炎」改名為「新冠病毒感染」,但仍有許多患者出現了肺炎症狀,甚至還傳出多起「白肺」病例。對此,大陸國家衛健委醫政司司長焦雅輝表示,從2022年的數據來看,出現肺炎的佔比相當低,不到10%,大概是8%左右,「我們國家人口基數大,再低的比例,變成絕對值,都是一個不小的數目。」
(新冠 ...
![[圖]](https://cdn2.ettoday.net/images/6792/d6792564.jpg)
6.備註:
※ 一個人一天只能張貼一則新聞(以天為單位),被刪或自刪也算額度內,超貼者水桶,請注意
※ 備註請勿張貼三日內新聞(包含連結、標題等)
--
只要用力呼吸 就能看見奇蹟
--
※ 發信站: 批踢踢實業坊(ptt.cc), 來自: 118.161.48.124 (臺灣)
※ 文章代碼(AID): #1Zkan-lx (Gossiping)
※ 文章網址: https://www.ptt.cc/bbs/Gossiping/M.1673153662.A.BFB.html
→ : 塊陶啊1F 36.233.22.29 台灣 01/08 12:55
推 : 代表這8%都要進醫院救,結合最近的感染數2F 123.240.119.6 台灣 01/08 12:55
推 : 百分比的東西,跟人口基數有什麼關聯啊?3F 42.73.247.181 台灣 01/08 12:56
→ : 8%還不夠高喔?4F 223.136.255.53 台灣 01/08 12:56
推 : 肺到爆5F 39.9.224.58 台灣 01/08 12:56
→ : 能及時治療的人剩多久,專家自己心裡有數6F 123.240.119.6 台灣 01/08 12:56
→ : 十幾億ㄉ8%沒有很多,人口控制而已7F 27.240.216.165 台灣 01/08 12:56
→ : *剩多少人8F 123.240.119.6 台灣 01/08 12:57
推 : 這8%是調整過的數據吧9F 101.12.48.201 台灣 01/08 12:57
推 : 8%也太高了吧?10F 61.227.155.93 台灣 01/08 12:58
推 : 這樣一億人了吧?11F 223.140.203.116 台灣 01/08 12:59
→ : 十億8%是要毀滅世界嗎==12F 218.35.147.220 台灣 01/08 12:59
推 : 死亡率呢?13F 111.248.64.178 台灣 01/08 13:01
推 : 台灣不知道多少14F 36.229.208.136 台灣 01/08 13:01
推 : 恩 8啪乘上14e15F 114.136.185.66 台灣 01/08 13:02
→ : 14億死個8趴無所謂?人民真慘16F 218.164.33.155 台灣 01/08 13:04
圖片讀取失敗
→ : 一堆老黨員跟高幹都稱不過去。倒習有機19F 218.164.33.155 台灣 01/08 13:05
→ : 會實現
→ : 會實現
→ : 台灣0.55%阿,肺炎在台灣都算中症以上21F 1.171.182.109 台灣 01/08 13:05
→ : 了,上面說10%的是在造謠嗎?
→ : 了,上面說10%的是在造謠嗎?
噓 : 8趴有點高欸23F 223.137.138.113 台灣 01/08 13:05
→ : 人家說的8%又不是死亡率= =24F 36.239.109.190 台灣 01/08 13:05
→ : 有眼睛不會看膩,新聞寫的
→ : 有眼睛不會看膩,新聞寫的
→ : 那不同毒株且當時還沒疫苗26F 1.171.182.109 台灣 01/08 13:06
→ : 亂比一通
→ : 亂比一通
推 : 中國醫療能救幾趴??1趴就很多了28F 218.164.33.155 台灣 01/08 13:07
推 : 8%喔 那還有12億多韭菜 小事29F 27.247.166.225 台灣 01/08 13:07
圖片讀取失敗
→ : 其實就是死一片不敢report32F 223.137.138.113 台灣 01/08 13:07
→ : 他們現在連死因都不開covid
→ : 他們現在連死因都不開covid
→ : 動不動就說人造謠,反正一定要贏48434F 36.239.109.190 台灣 01/08 13:08
→ : 那是Omicron 嗎?打疫苗沒?存心造謠誤35F 1.171.182.109 台灣 01/08 13:09
→ : 導嗎?
→ : 導嗎?
推 : 某間大學老教授3年死了幾十個。這新聞37F 218.164.33.155 台灣 01/08 13:09
→ : 都有
→ : 都有
→ : 有啊 清華死幾十個39F 223.137.138.113 台灣 01/08 13:09
→ : 就解封後的階段過程,各國皆然,不懂40F 36.239.109.190 台灣 01/08 13:09
→ : 就有啥好大驚小怪
→ : 老人就容易掛啊,第一次接觸疫情?
→ : 就有啥好大驚小怪
→ : 老人就容易掛啊,第一次接觸疫情?
→ : 打疫苗後Omicron 台灣中症以上0.55%,843F 1.171.182.109 台灣 01/08 13:11
→ : %是14倍
→ : %是14倍
→ : 然後勒,你到底要說啥,造謠有新病毒45F 36.239.109.190 台灣 01/08 13:11
→ : 有那一國有這麼恐怖的中重症率?46F 1.171.182.109 台灣 01/08 13:11
→ : ?你WHO高幹?47F 36.239.109.190 台灣 01/08 13:12
推 : 到現在還有很多看不開的才是八卦48F 27.247.166.225 台灣 01/08 13:12
噓 : 標題太惡意 低級49F 27.247.0.86 台灣 01/08 13:12
推 : 真愛自相矛盾。一下說不是死亡率,一下50F 218.164.33.155 台灣 01/08 13:12
→ : 自己造謠還說別人造謠51F 1.171.182.109 台灣 01/08 13:12
→ : 說容易掛52F 218.164.33.155 台灣 01/08 13:12
→ : 這麼專業,叫政府預防性斷航唄53F 36.239.109.190 台灣 01/08 13:13
→ : 反正中國那樣多人 掛了一億4還有12億54F 27.247.166.225 台灣 01/08 13:13
→ : 6 根本沒差
→ : 6 根本沒差
→ : 大規模感染容易變種不然各國是封假的喔56F 218.164.33.155 台灣 01/08 13:13
→ : 不就怕變種
→ : 不就怕變種
→ : 我造啥謠?指揮中心記者會新聞是造謠58F 36.239.109.190 台灣 01/08 13:14
→ : 你還要考慮他們的疫苗效果比較差59F 223.137.138.113 台灣 01/08 13:14
→ : ?60F 36.239.109.190 台灣 01/08 13:14
→ : 所以重症高61F 223.137.138.113 台灣 01/08 13:14
→ : 你怎不乾脆拿sars 數據出來比?亂比麻62F 1.171.182.109 台灣 01/08 13:14
→ : 疫苗差,隔太久沒補加強針沒保護力,草
→ : 草開放沒先補加強針
→ : 沒藥可吃,輕症都拖成肺炎
→ : 疫苗差,隔太久沒補加強針沒保護力,草
→ : 草開放沒先補加強針
→ : 沒藥可吃,輕症都拖成肺炎
推 : 因為有人註冊專利 專利者會賺錢_$$66F 61.231.33.157 台灣 01/08 13:16
推 : 喔是喔,專業哥沒去指揮中心真可惜了67F 36.239.109.190 台灣 01/08 13:16
→ : 支那官員素質高68F 27.52.37.253 台灣 01/08 13:17
→ : 超過0.1%都會出現恐慌了..69F 118.231.136.162 台灣 01/08 13:19
推 : 那是恐慌仔自己心理素質差看不開70F 27.247.166.225 台灣 01/08 13:20
→ : 8%很高了71F 112.78.73.82 台灣 01/08 13:21
→ : 看得開的現在就能開始爽了72F 27.247.166.225 台灣 01/08 13:21
→ : 那幹嘛不早點看開加入走出來呢
→ : 那幹嘛不早點看開加入走出來呢
推 : 100個就有8人白肺住院治療真的是很高74F 1.168.216.112 台灣 01/08 13:29
→ : 。
→ : 。
推 : 8%叫只有 厲害了你的國76F 36.225.78.11 台灣 01/08 13:31
推 : 8%,沒事兒77F 118.232.0.27 台灣 01/08 13:34
推 : 白肺力氣78F 101.12.21.168 台灣 01/08 13:36
推 : 8%10%都是必經階段過程,中國再不立即全79F 101.138.0.218 台灣 01/08 13:41
→ : 面解封無收入餓死自殺的會是確診死的百倍
→ : 面解封無收入餓死自殺的會是確診死的百倍
→ : 8%很恐怖好嗎81F 58.115.206.99 台灣 01/08 13:44
→ : 多死一點啊。82F 101.9.101.110 台灣 01/08 13:49
→ : 反正5毛都說還好,那就更多更好
→ : 反正5毛都說還好,那就更多更好
推 : 反正死的都是敵國人 幹嘛還擔心他84F 27.247.166.225 台灣 01/08 13:51
→ : 韭菜要割就快被割不要狗了
→ : 韭菜要割就快被割不要狗了
推 : 8%超高86F 111.241.200.1 台灣 01/08 14:07
→ : 支那克拉克87F 49.216.232.107 台灣 01/08 14:08
推 : 12億的8%?怕88F 42.75.159.189 台灣 01/08 14:10
推 : 不就只打垃圾疫苗造成的89F 1.163.89.225 台灣 01/08 14:14
推 : 變種前 沒疫苗時 老人8% 差不多就這數據90F 220.129.95.2 台灣 01/08 14:18
→ : 中國2~3年來不長進 多買口服藥 投藥高危險
→ : 族群 就能降超多了
→ : 中國2~3年來不長進 多買口服藥 投藥高危險
→ : 族群 就能降超多了
→ : ……說還好的要不要想一下新冠重症93F 223.136.155.176 台灣 01/08 14:22
→ : 存活率啊
→ : 存活率啊
推 : 14億*8~15%=白肺=死亡=1.4億,驚!!!95F 106.1.121.153 台灣 01/08 14:23
推 : 我們很大 你們忍一下96F 61.58.109.90 台灣 01/08 14:24
推 : 而且中國沒進Paxlovid,現在才在洽97F 223.136.155.176 台灣 01/08 14:25
→ : 輝瑞做仿藥,怎麼可能來得及?
→ : 輝瑞做仿藥,怎麼可能來得及?
推 : 可憐99F 218.164.8.183 台灣 01/08 14:25
推 : 一堆輕症沒報的,我是覺得8%高估了100F 101.12.90.41 台灣 01/08 14:43
→ : 14億的8趴,嚇死人101F 42.73.27.177 台灣 01/08 14:49
→ : 白肺就算沒死 以後的費用也是很多
→ : 白肺就算沒死 以後的費用也是很多
推 : 8%....103F 61.224.122.86 台灣 01/08 15:06
→ : 五毛你們不是在私訊解放軍串連除舊習?104F 101.9.138.39 台灣 01/08 15:14
推 : 中國又在清洗人口?105F 118.161.8.184 台灣 01/08 15:15
→ : ……8%超多的……白肺後遺症……106F 101.12.45.18 台灣 01/08 15:19
→ : 8% 也太多107F 42.72.11.6 台灣 01/08 15:23
推 : 顆顆 某五毛洗地到五毛語氣都飄出來了108F 36.228.213.164 台灣 01/08 15:40
推 : 8%蠻高的 外加中國的數據...109F 1.160.231.209 台灣 01/08 15:54
推 : 14億白肺8%而已,還沒有算死亡不足1110F 58.114.145.54 台灣 01/08 16:22
→ : 0%的骨灰人數呢!!
→ : 0%的骨灰人數呢!!
推 : 中共講的你信?112F 27.52.108.227 台灣 01/08 17:10
推 : 重點是Omicron只會攻擊上呼吸道 中國現在113F 27.51.9.48 台灣 01/08 17:15
→ : 流行的到底是哪一種
→ : 白肺的案例也太多了吧
→ : 流行的到底是哪一種
→ : 白肺的案例也太多了吧
推 : 他們的疫苗也太沒用......116F 223.139.95.21 台灣 01/08 17:53
推 : 進醫院死8%?117F 42.72.164.130 台灣 01/08 18:29
推 : 8%就至少一億了,又官方的8%還要再加N倍118F 114.32.34.241 台灣 01/08 19:03
推 : 醫師說40%,黨說8%119F 218.172.149.23 台灣 01/08 19:35
--
※ 看板: Gossiping 文章推薦值: 0 目前人氣: 0 累積人氣: 572
作者 sukiyasuica 的最新發文:
ETtoday YSF-雙日籍打擊教練來了!中信兄弟拚火力再進化 助攻新球季 記者楊舒帆/綜合報導 中信兄弟持續強化教練團戰力,特別針對「團隊打擊策略」進行全面升級。球團今(30)日 正式宣布,與日 …40F 26推 1噓- 12F 3推 1噓
點此顯示更多發文記錄
回列表(←)
分享
