※ 本文為 zbali.bbs. 轉寄自 ptt.cc 更新時間: 2020-05-30 21:13:48
看板 Gossiping
作者 標題 [新聞] 罕見胃腸道基質瘤 車禍送醫才查出
時間 Sat May 30 21:07:42 2020
1.媒體來源︰自由
2.記者署名︰陳鳳麗
3.完整新聞標題︰罕見胃腸道基質瘤 車禍送醫才查出
4.完整新聞內文︰
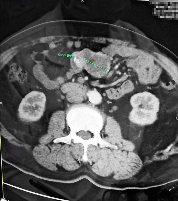
一名男子車禍受傷送醫,急診醫師擔心腹內器官損傷,安排他接受電腦斷層掃描,意外發
現其小腸有一顆5.6公分的腫瘤。經手術切除後化驗,病理報告顯示為罕見的胃腸道基質
瘤。
現其小腸有一顆5.6公分的腫瘤。經手術切除後化驗,病理報告顯示為罕見的胃腸道基質
瘤。
58歲黃姓男子上月發生車禍受傷,被送到草屯鎮佑民醫院救治,由於腹部有挫傷、四肢有
多處擦傷,急診室醫師擔心腹內器官損傷,為他做了腹部電腦斷層掃描,意外掃描出小腸
有5.6公分的腫瘤;轉介至一般外科醫師林佳正門診,黃男接受醫師建議切除腫瘤。
多處擦傷,急診室醫師擔心腹內器官損傷,為他做了腹部電腦斷層掃描,意外掃描出小腸
有5.6公分的腫瘤;轉介至一般外科醫師林佳正門診,黃男接受醫師建議切除腫瘤。
手術後病理報告顯示為罕見的「胃腸道基質瘤」,每100萬人中,每年僅10至20個病例。
因黃男腫瘤大於5公分,且有絲分裂(腫瘤細胞分裂複製)指數大於5,經向健保署申請標
靶藥物,符合給付條件而獲准,黃男可連續服用該藥物3年,若3年內沒有產生抗藥性、持
續服用完畢,復發機率大為降低。
因黃男腫瘤大於5公分,且有絲分裂(腫瘤細胞分裂複製)指數大於5,經向健保署申請標
靶藥物,符合給付條件而獲准,黃男可連續服用該藥物3年,若3年內沒有產生抗藥性、持
續服用完畢,復發機率大為降低。
林佳正指出,黃男在被檢查出小腸有腫瘤前,未出現任何不適症狀,只在去年健康檢查出
輕微貧血,但沒有便血的情況而未再進一步檢查。研判該腫瘤至少有半年以上,才會長到
5公分的大小。
輕微貧血,但沒有便血的情況而未再進一步檢查。研判該腫瘤至少有半年以上,才會長到
5公分的大小。
林佳正也說,黃男未來應3至6個月回診一次,生活上不需有特別禁忌,只要生活作息正常
,少吃刺激性食物即可。
5.完整新聞連結︰https://health.ltn.com.tw/article/paper/1375852
罕見胃腸道基質瘤 車禍送醫才查出 - 即時新聞 - 自由健康網
記者陳鳳麗/南投報導
![[圖]](https://img.ltn.com.tw/Upload/health/page/800/2020/05/28/249.jpg)
一名男子車禍受傷送醫,急診醫師擔心腹內器官損傷,安排他接受電腦斷層掃描,意外發現其小腸有一顆5.6公分的腫瘤。經手術切除後化驗,病理報告顯示為罕見的胃腸道基質瘤。
58歲黃姓男 ...--
※ 發信站: 批踢踢實業坊(ptt.cc), 來自: 114.26.126.252 (臺灣)
※ 文章代碼(AID): #1UqbgXtc (Gossiping)
※ 文章網址: https://www.ptt.cc/bbs/Gossiping/M.1590844065.A.DE6.html
→ : 因禍得福1F 05/30 21:08
推 : 運氣不錯2F 05/30 21:10
--
※ 看板: ott 文章推薦值: 0 目前人氣: 0 累積人氣: 133
作者 B0858B 的最新發文:
1.媒體來源:聯合 2.記者署名:林汪靜 3.完整新聞標題:李克強再強調:絕不允許拖欠農民工辛苦錢 4.完整新聞內文: 大陸國務院總理李克強24日再度強調,絕不允許拖欠農民工工資這筆辛苦錢,惡意拖欠的 …24F 6推 9噓
1.媒體來源:自由 2.記者署名:李容萍 3.完整新聞標題:蔡英文:若簽ECFA 紡織業12萬人失業 4.完整新聞內文: 民進黨發動ECFA公投,希望本月底前完成十萬份連署,黨主席蔡英文昨實地走訪桃園 …145F 70推 15噓
1.媒體來源︰加拿大星島 2.記者署名︰外電 3.完整新聞標題︰習近平重申:房子是用來住 不是用來炒 4.完整新聞內文︰ 中共總書記習近平在十九大宣讀工作報告,提出多項改善民生和扶貧措施,同時重申房屋 …691F 410推 71噓
1.媒體來源︰自由 2.記者署名︰楊芙宜 3.完整新聞標題︰憂爆金融風險 李克強批人行信貸擴張 4.完整新聞內文︰ 英國「金融時報」報導,中國國務院總理李克強近日罕見公開抨擊中國人民銀行(中國央 行) …8F 7推 1噓
1.媒體來源︰經濟 2.記者署名︰林汪靜 3.完整新聞標題︰習近平表態 推動房地產稅 4.完整新聞內文︰ 大陸國家主席習近平在昨(16)日出刊的《求是》雜誌發表「紮實推動共同富裕」,勾勒 共同富裕路線 …121F 70推 8噓
點此顯示更多發文記錄
→
guest
回列表(←)
分享




