作者 colset (摳機主教)
標題 [新聞] 不抽煙、不喝酒竟癌末!4旬男「沒有任何
時間 Thu Jun 19 14:17:49 2025



1.媒體來源:
今日新聞

2.記者署名:
林莞茜

3.完整新聞標題:
不抽煙、不喝酒竟癌末!4旬男「沒有任何不舒服」 健檢去年正常

4.完整新聞內文:
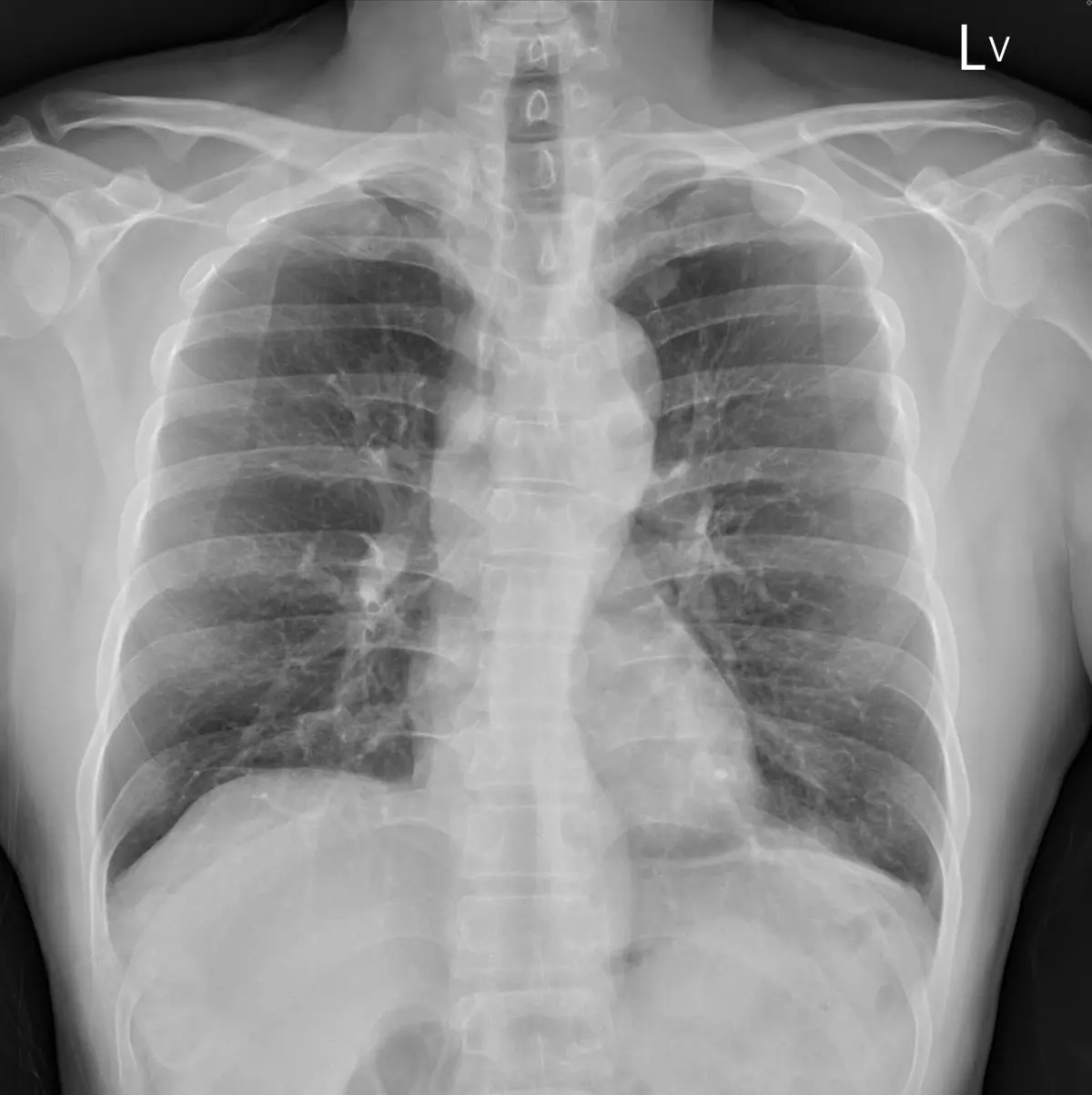
胸腔科醫師蘇一峰發文指出,一名四十多歲男性,平時不抽菸不喝酒,也沒有任何不舒服
,只是例行性身體檢查,卻發現胸腔有5公分腫瘤「癌症末期已經到處轉移」讓他忍不住
在診間哽咽快落淚。


蘇一峰還提到,這名病患每天都認真工作,去年的健檢還是正常,今年說X光有一點問題
,就來胸腔科檢查,沒想到照出5公分腫瘤加上轉移,變成末期癌症到處轉移。

蘇一峰先在文中放上X光圖,讓網友看看腫瘤,並在留言處附上圈起的腫瘤示意圖「躲在
主動脈裡面,五公分縱膈腔腫瘤」,讓網友也紛紛回應「好可怕,跟空污有絕對關係」、
「好可怕的無症狀」、「癌症讓人難受的是人生突然被畫下句點」。


5.完整新聞連結 (或短網址)不可用YAHOO、LINE、MSN等轉載媒體:
https://www.nownews.com/news/6697098
不抽煙、不喝酒竟癌末!4旬男「沒有任何不舒服」 健檢去年正常 | 生活焦點 | 要聞 | NOWnews今日新聞
[圖]
胸腔科醫師蘇一峰發文指出,一名四十多歲男性,平時不抽菸不喝酒,也沒有任何不舒服,只是例行性身體檢查,卻發現胸腔有5公分腫瘤「癌症末期已經到處轉移」讓他忍不住... ...

 

6.備註:
党感謝你的犧牲

--
※ 發信站: 批踢踢實業坊(ptt.cc), 來自: 36.236.127.37 (臺灣)
※ 作者: colset 2025-06-19 14:17:49
※ 文章代碼(AID): #1eKwkGF0 (Gossiping)
※ 文章網址: https://www.ptt.cc/bbs/Gossiping/M.1750313872.A.3C0.html
※ 同主題文章:
06-19 14:13 schrei
06-19 14:15 oftisa
06-19 14:16 lanchia331
06-19 14:17 colset
06-19 14:19 iLeyaSin365
06-19 14:19 GivemeApen
06-19 14:21 kons
… ×11
bill403777: 問黨就是煮菜1F 42.72.100.61 台灣 06/19 14:18
gogobar 
gogobar: 操你媽的用肺發電2F 220.133.218.212 台灣 06/19 14:18
GKKR: 媽的 我是不是要開始酗酒抽煙阿3F 89.117.42.38 美國 06/19 14:18
s820912gmail 
s820912gmail: 大家都知道4F 49.218.209.251 台灣 06/19 14:18
suckmydick: 發瘋!5F 49.216.48.147 台灣 06/19 14:20
imlucky: 基因6F 223.139.149.67 台灣 06/19 14:21
hmcedamon: 公司健檢就瞎唬攏7F 114.137.129.238 台灣 06/19 14:22
r85270607: 內容過於跳躍了 要是有細節就好了8F 101.12.115.37 台灣 06/19 14:23
neoa01 
neoa01: 民進黨執政空汙要殺死多少台灣人9F 111.82.167.110 台灣 06/19 14:24
neoa01: 肺癌家園
keyman2: 放飛自我 吸煙喝酒呼麻體驗最後人生11F 36.224.115.198 台灣 06/19 14:24
zxc7: 是照低劑量掃描嗎12F 125.228.115.39 台灣 06/19 14:25
BaDoYao: 民主的肺腺癌,在那叫什麼13F 211.75.47.111 台灣 06/19 14:25
hk129900: 躲在主動脈裡面跟空汙有關係嗎14F 118.163.167.82 台灣 06/19 14:26
zenan321: 這種機率問題,會隨著空汙提高樓地板
煙害如果不毒,那也不用搞菸捐與綠能
簡單邏輯問題在意識形態作祟下,什麼都變得可疑,不到黃河心不死15F 220.135.131.51 台灣 06/19 14:28
PaulAllen2: 這應該跟個人體質有問題不然現在空氣這麼糟糕全台灣至少上百萬人得肺癌了19F 27.240.233.66 台灣 06/19 14:34
max60209: 未看先猜住台中21F 60.251.55.94 台灣 06/19 14:35
ahemaha: 就是不抽煙才得肺癌!(反串)22F 59.124.89.224 台灣 06/19 14:36
coffee112: 我也有點怕 唉 有跟身邊一些長輩提醒23F 1.174.234.185 台灣 06/19 14:38
hkcdc: 肺?24F 101.10.86.240 台灣 06/19 14:39
sexygnome: 騎機車?25F 223.136.142.10 台灣 06/19 14:39
coffee112: 跟空汙絕對沒關係 都是自己本來就26F 1.174.234.185 台灣 06/19 14:44

--
作者 colset 的最新發文:
點此顯示更多發文記錄